CABINET VETERINAIRE D'ORTHOPEDIE ET NEUROCHIRURGIE

Überweisungspraxis für Orthopädie und Neurochirurgie der Kleintiere

Referral Practice for Small Animal Orthopedics and Neurosurgery

We just do this - no waiting time for emergencies

TEL: 661 32 00 18 (no sms on first contact) or 26 32 00 18

IMAGERIE MEDICALE 



CHIRURGIE GENERALE


CHIRURGIE TISSUS MOUX


NEUROLOGIE

ONCOLOGIE

PAS DELAIS EN CAS D'URGENCES

FRACTURES - CHIRURGIE DANS LA JOURNEE ou  AU PLUSTARD DANS LES 24H


CONSULTATIONS PREOPERATOIRES: Lundi, Mardi, Jeudi et Vendredi:  de 14:30 à 18:30 toujours sur Rendez-vous, sauf urgences

CHIRURGIE: tous les jours à partir de 8:30 sauf Mercredi et le weekend

PAS DE CONSULTATIONS LE MATIN




                    Dr Marcus Riemer

60 Rue de Bonnevoie               L-5950 ITZIG


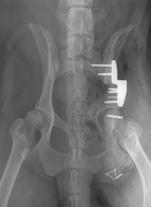
Prothese articulaire
du genou


  • Knee surgery - Chirurgie du Genou
  • Hip Surgery: TPO
  • Patellar Grouve Replacement
  • Ligaments croisés - Cruciate Ligament Repair by TTA/MMT or TTA Jump also combined with Correction of Patella Luxation
  • Luxation de la Rotule & Rupture du Ligament croisé - Technique combinée TTA & Realignement
  • Fixation de fractures - Fracture repair
  • Discopathy, disc hernia
  • Luxation de la rotule - Patella Luxation (congenital & traumatic)
  • Elbow Displasia FCP, UAP
  • Oncologie, Chirurgie, Chemiotherapie
  • Chirurgie des tissus moux - Soft Tissue Surgery
  • Digital X-Ray Imaging
  • Anésthésie inhalatoire avec monitoring permanent du patient - Inhalatory Anesthesia with complete Patient Monitoring

OPENING HOURS for pre Surgery exams: Mon to Fri except Wed: 14:30-18:30 always on appointment only

Except for emergencies

Surgery: every day from 8:30 except Wednesday and Weekend

EMERGENCIES WILL BE TREATED ACCORDINGLY WITHOUT FURTHER DELAYS


                                

Nos Services - Our Services

 TTA LIGAMENTS CROISEES

 

CRUCIATE LIGAMENT REPAIR BY TTA

ORTHOPEDIE, CHIRURGIE OSSEUSE ET ARTICULAIRE